Coordonnées
6815, Route Transcanadienne, E012B
            Pointe-Claire (Québec) H9R 1C4 
            T. (514) 694-8150 F. (514) 694.7293
            directions 
POUR PRENDRE RENDEZ-VOUS
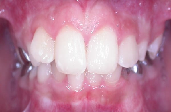
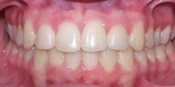
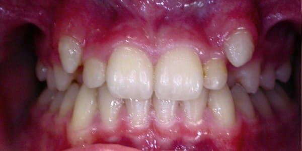
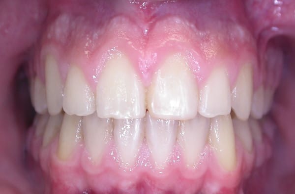
Si vous vivez dans l’Ouest-de-l’île, à Pointe-Claire ou très proche de Dollard-des-Ormeaux, la docteure Prosterman est votre premier choix pour les soins orthodontiques aux enfants, aux adolescents et aux adultes. Appelez-la dès maintenant pour prendre rendez-vous : (514) 694-8150.
